blogger-disqus-facebook
About Me
Contact Me
Privacy policy
Header Ads
CT & MRI Filming
_Brain format filming
_Neck filming
_Chest filming
_Abdomen filming
_Upper limb filming
_Lower limb filming
_Angiogram filming
__Carotid
__Cerebral
__Aortogram
__Lower limb
__upper limb
__Brain+neck
__CT CORONARY
CT Anatomy Study
_Brain
_chest
__axial
_Heart
__axial
__coronal
__sagittal
_abdomen
__coronal
__axial
__sagittal
_Whole skull
CT Procedure
_CT MRI orbit
_Brain
_Mastoid
_Neck
_HRCT CHEST
CT & MRI NOTE
_CT VS MRI
_Short note MRI
_Short note CT
_Hounsfield scale
_CT Contrast & equipment
DHA Exam
_All questions & answers
CT Pathology
_Brain
_mastoid
_PNS
_Neck
_Chest
_abdomen
_angiogram
MRI
_MRI BRAIN AXIAL
_MRI Brain coronal
_MRI BRAIN SAGITTAL
_MRA Brain
MRI Filming
_Brain film
_Brain with contrast
_Brain with epilepsy
_MRV with Brain
_MRA with Brain
_Brain with IAC
Home
/
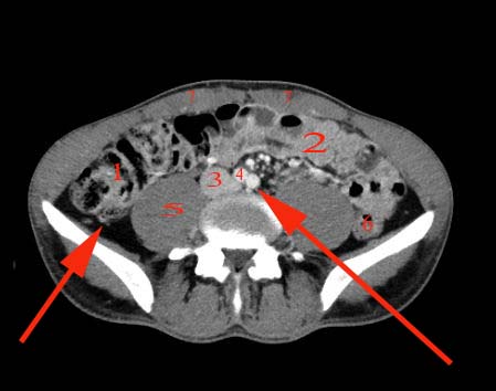
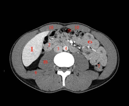
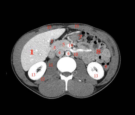
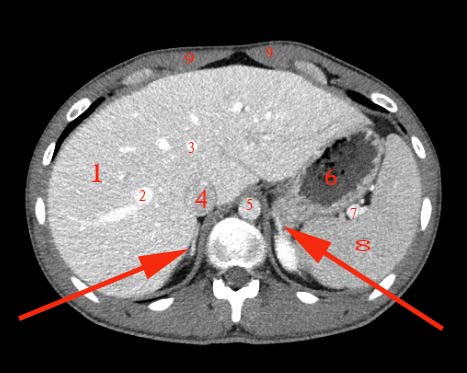
Abdomen IQ Test
/
Abdomen axial IQ Test
Abdomen axial IQ Test
CT
Thursday, August 25, 2022
0
No comments
Subscribe to:
Post Comments ( Atom )
ads
AdSense
Follow us
Clock
!doctype>
Join Us
https://www.facebook.com/ctscanandmri
Subscribe Us
Popular
5/Popular/post-per-tag
Recent
5/recent-posts
Comments
5/recent-comments
ads
Tags
abdomen
(8)
Abdomen anatomy
(2)
Abdomen format filming
(4)
Abdomen IQ Test
(2)
all xray anatomy
(3)
angiogram
(1)
Bone window
(1)
Brain
(4)
Brain anatomy
(1)
Brain format
(1)
Brain format filming
(7)
Brain IQ Test
(1)
Brain procedure
(1)
Chest anatomy
(1)
Chest format filming
(3)
chest IQ Test
(1)
CT angiogram filming
(6)
CT contrast & equipment
(1)
CT coronary film
(1)
CT lower limb filming
(5)
CT SCAN VS MRI
(1)
CT upper limb filming
(1)
dha exam
(1)
filming
(6)
heart anatomy
(3)
Heart axial IQ test
(1)
Heart coronal IQ Test
(1)
heart sagittal iq test
(1)
hounsfield scale
(1)
HRCT chest procedure
(1)
KUB
(1)
Mastoid
(1)
Mastoid procedure
(1)
MRI BRAIN
(1)
mri film
(3)
MRI of Brain
(1)
MRI of Brain all video
(1)
MRI of Brain coronal
(1)
MRI of Brain film
(4)
MRI of Brain sagittal
(1)
mrv of brain
(1)
NECK
(8)
Neck format filming
(1)
Neck procedure
(1)
Orbit anatomy
(1)
Pathology
(13)
pns
(3)
Short note on CT
(1)
Short note on MRI
(1)
Slider
(6)
Theme images by
follow777
. Powered by
Blogger
.
No comments