Header Ads

chronic mastoiditis radiology

 





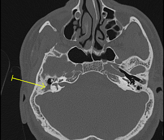
Normal cellular patterns are lost in Rt mastoid with collection in middle ear cavity. Right tympanic membrane is thickened and retracted.

No comments

Theme images by follow777. Powered by Blogger.