Header Ads

mass lesion in abdomen I Both side pleural effusions

Both side pleural effusions

Fat containing mass

Fat containing mass

Fat containing mass

 

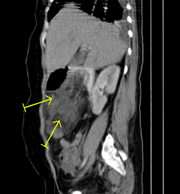
  • About 9x6cm  fat containing mass in the right upper abdomen close to stomach         and pancreas with surrounding peritoneal
  • fat stranding. DDx: Lipoma/ gastric lipoma?
  • Mild ascites with both pleural effusions.

No comments

Theme images by follow777. Powered by Blogger.