Header Ads

ct brain aneurysm

 

MIP Thin image sagittal view Aneurysm of opercular segment of left middle cerebral artery.

MIP Thin image coronal view Aneurysm of opercular segment of left middle cerebral artery.

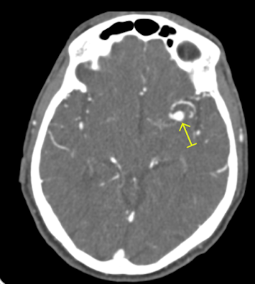
MIP Thin image axial view Aneurysm of opercular segment of left middle cerebral artery.

3D invert Image LT lateral view Aneurysm of opercular segment of left middle cerebral artery.

3D invert Image RT lateral view Aneurysm of opercular segment of left middle cerebral artery.

3D invert Image posterior view Aneurysm of opercular segment of left middle cerebral artery.

3D invert Image anterior view Aneurysm of opercular segment of left middle cerebral artery.

3D VRT Image RT lateral view Aneurysm of opercular segment of left middle cerebral artery.

3D VRT Image posterior view Aneurysm of opercular segment of left middle cerebral artery. 

3D VRT Image anterior view Aneurysm of opercular segment of left middle cerebral artery. 

  • Aneurysmal dilatation ( 7.10mm in diameter) is seen in opercular segment of left middle cerebral artery.

No comments

Theme images by follow777. Powered by Blogger.