Header Ads

hypodense lesion in kidney radiology I focal lesion in the liver

 

hypodense mass lesion is seen in the left kidney

hypodense mass lesion is seen in the left kidney

hypodense mass lesion is seen in the left kidney

hypodense mass lesion is seen in the left kidney

hypodense mass lesion is seen in the left kidney

focal lesion in the liver

focal lesion in the liver

focal lesion in the liver

focal lesion in the liver

hypodense mass lesion is seen in the left kidney

hypodense mass lesion is seen in the left kidney

hypodense mass lesion is seen in the left kidney

hypodense mass lesion is seen in the left kidney

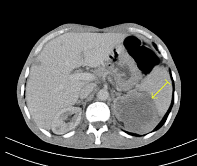
  • About 76x74mm large hypodense mass lesion is seen in the left kidney showing inhomogeneous enhancement and closely located with psoas muscle.


No comments

Theme images by follow777. Powered by Blogger.